Alejandra Guzmán fue operada de urgencia el pasado 4 de enero tras presentar problemas en la cadera. De acuerdo con sus representantes, en la intervención le fue extraído un tejido afectado en su cadera, por lo que deberá permanecer en reposo absoluto por los siguientes días.
Operan de urgencia a Alejandra Guzmán por problemas en la cadera
Los representantes de la cantante informaron que deberá guardar reposo absoluto por una semana
“Referente a la salud de la artista Alejandra Guzmán, nos permitimos compartir lo siguiente, fue atendida el día 4 de enero del presente año con carácter de urgencia por proceso reactivo de cadera izquierda, motivo por el cual fue intervenida quirúrgicamente bajo anestesia general habiéndosele practicado con éxito la recesión y exéresis de tejido afectado, siendo dada de alta el mismo día, motivo por el cual deberá guardar absoluto reposo 1 semana”, dice el comunicado.
Ante la reciente intervención de la intérprete, su presentación del próximo 11 de enero, en el Palenque de Moroleón, Guanajuato, tuvo que ser cancelada, hecho que la artista lamenta profundamente.
El comunicado también detalla que la llamada ‘Reina de corazones’ retomará sus actividades a mediados de este mes, asegurando que, pese a la “urgencia de la operación”, fue dada de alta el mismo día.
“Alejandra Guzmán retomará sus actividades y el día 19 de enero del presente año cumpliendo con sus compromisos para el reality show que presenta en EUA, así como su show en la Arena Ciudad de México, el 8 de febrero de 2020”. Hasta el momento, Alejandra Guzmán no ha hecho comentarios al respecto en sus redes sociales.
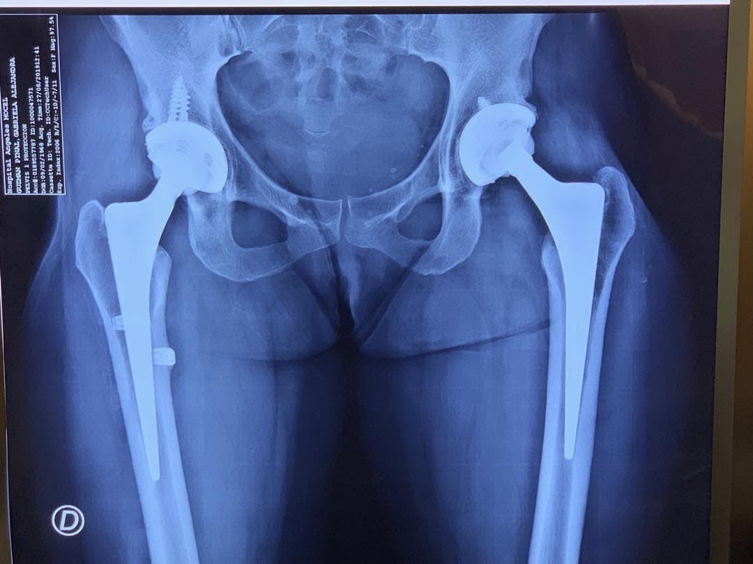
Alejandra Guzmán muestra su prótesis en la cadera
En agosto, de 2019, Alejandra Guzmán tomó sus redes sociales para mostrar la prótesis de titanio que le fue colocada en su cadera a consecuencia de las más de 20 cirugías a las que se sometió tras un mal procedimiento estético para aumentar el tamaño de sus glúteos. “Soy de titanio”, expresó en Instagram.

Los problemas en su cadera aparecieron aparecieron en 2009, poco después de acudir con la especialista Valentina de Albornoz, quien le inyectó una sustancia llamada metil metacrilato en el tejido, provocando que este penetrara entre la subdermis y el músculo.
En octubre de ese mismo año, Valentina de Albornoz fue internada de emergencia en el Hospital Ángeles Interlomas, donde se le informó que la sustancia se le había encarnado en el músculo, afectando también su pelvis.

















